Gastrointestinal medical image database select language
japaneseenglishchinesekoreaspanish

Contents

Posted by: Fukuoka Pref., 九州癌中心
医疗方针联络网的病例.
Gastrointestinal case conference
登记日 2007/10/31
图像 18
性别 女性
年龄 70-74
Misc 1995-1999

ID:10278
更改背景颜色
[ Image ID:10278 ]


有详细数据
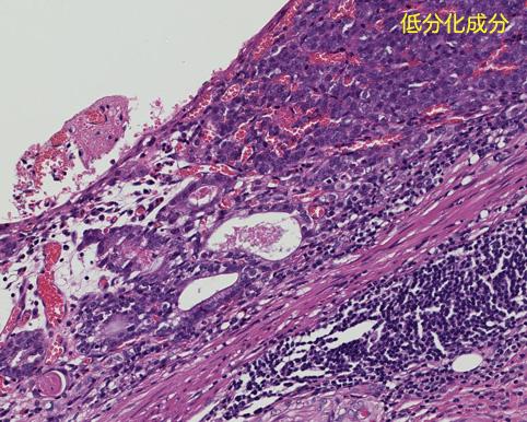
疾病(病理主体)的分类恶性上皮性肿瘤/腺癌
部位(按器官分)胃(部位)/体部
检查方法病理切片(微观)
肿瘤的肉眼分类0型(表在型)/IIc型(IIc)
肿瘤最大直径1~9
肿瘤的深度m
多发性肿瘤(同一器官)
多重性肿瘤(多个器官)



TOP