Gastrointestinal medical image database select language
japaneseenglishchinesekoreaspanish

Contents

Posted by: Fukuoka Pref., 九州癌中心
登记日 2008/02/15
图像 29
性别 男性
年龄 65-69
Misc 1995-1999

ID:10395
更改背景颜色
[ Image ID:10395 ]


有详细数据
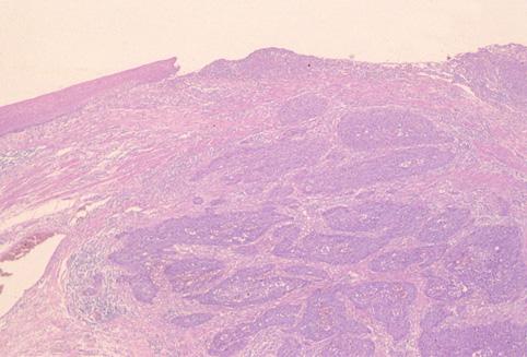
疾病(病理主体)的分类恶性上皮肿瘤/扁平上皮癌
部位(按器官分)食道/中
检查方法病理切片(微观)
肿瘤的肉眼分类0型(表在型)/IIa型(IIa+IIc)
肿瘤最大直径15~19
肿瘤的深度sm
多发性肿瘤(同一器官)
多重性肿瘤(多个器官)



TOP