Gastrointestinal medical image database select language
japaneseenglishchinesekoreaspanish

Contents

Posted by: Saga Pref., Saga Prefectural Hospital KOSEIKAN (Saga Prefectural Hospital KOSEIKAN)
Gastrointestinal case conference
登记日 2008/12/09
图像 17
性别 女性
年龄 45-49
Misc 2005-2009

ID:10745
更改背景颜色
[ Image ID:10745 ]


有详细数据
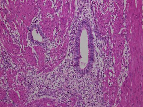
疾病(病理主体)的分类肿瘤样病变/子宫内膜症
部位(按器官分)大肠/直肠
检查方法病理切片(微观)
肿瘤最大直径40以上
多发性肿瘤(同一器官)
多重性肿瘤(多个器官)



TOP