Gastrointestinal medical image database select language
japaneseenglishchinesekoreaspanish

Contents

Posted by: Fukuoka Pref., KYUSHU UNIVERSITY HOSPITAL (KYUSHU UNIVERSITY HOSPITAL )
Gastrointestinal case conference
登记日 2009/02/10
图像 15
性别 男性
年龄 65-69
Misc 2005-2009

ID:10812
更改背景颜色
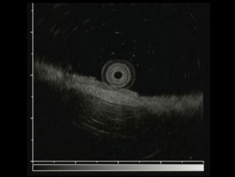
[ Image ID:10812 ]


有详细数据
疾病(病理主体)的分类恶性上皮性肿瘤/腺癌
部位(按器官分)胃(部位)/胃角
检查方法超声波
肿瘤的肉眼分类0型(表在型)/IIc型(IIc)
肿瘤最大直径15~19
肿瘤的深度sm
多发性肿瘤(同一器官)
多重性肿瘤(多个器官)



TOP