Gastrointestinal medical image database select language
japaneseenglishchinesekoreaspanish

Contents

Posted by: Fukuoka Pref., 九州癌中心
登记日 2009/03/31
图像 30
性别 男性
年龄 65-69
Misc 2005-2009

ID:10885
更改背景颜色
[ Image ID:10885 ]


有详细数据
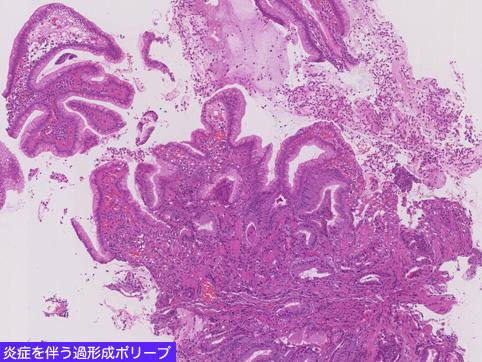
疾病(病理主体)的分类肿瘤样病变/组织增生性息肉
部位(按器官分)胃(部位)/2个以上
检查方法病理切片(微观)
肿瘤最大直径10~14



TOP