关于本数据库
最新消息
疾病一览
TOP
>
从疾病清单中查看病例
>
消化道的早期癌
>
早期胃癌
>
早期胃癌IIa+IIb型
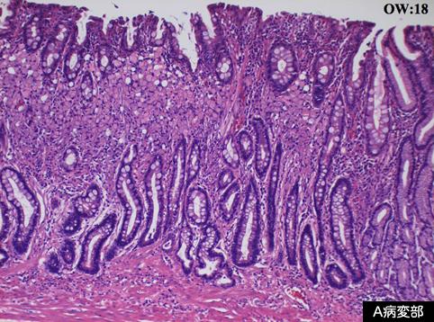
其他部位有胃腺瘤,对于癌灶行内窥镜下粘膜切除术(EMR)后,又对胃腺瘤实行补充切除的IIa+IIIb型早期胃癌
Posted by:
Fukuoka Pref., 九州癌中心
Gastrointestinal case conference
登记日
2009/06/18
图像
31
性别
男性
年龄
60-64
Misc
2000-2004
更改背景颜色
[ Image ID:10989 ]
有详细数据
疾病(病理主体)的分类
恶性上皮性肿瘤/印戒细胞癌
部位(按器官分)
胃(部位)/体部
检查方法
病理切片(微观)
肿瘤的肉眼分类
0型(表在型)/IIa型(IIa+IIb)
肿瘤最大直径
35~40
肿瘤的深度
m
多发性肿瘤(同一器官)
无
多重性肿瘤(多个器官)
无
TOP