Gastrointestinal medical image database select language
japaneseenglishchinesekoreaspanish

Contents

Posted by: Fukuoka Pref., 九州医疗中心 (平賀先生からの提供症例)
Gastrointestinal case conference
登记日 2010/04/19
图像 19
性别 女性
年龄 75-79

ID:11446
更改背景颜色
[ Image ID:11446 ]


有详细数据
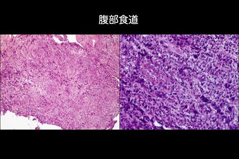
疾病(病理主体)的分类恶性淋巴系肿瘤/恶性淋巴瘤
部位(按器官分)食道/下
检查方法病理切片(微观)
肿瘤的肉眼分类5型(难以分类)/
肿瘤最大直径40以上
多发性肿瘤(同一器官)有(同时性)



TOP