Gastrointestinal medical image database select language
japaneseenglishchinesekoreaspanish

Contents

Posted by: Fukuoka Pref., 九州医疗中心 (平賀聖久先生からの提供症例 )
登记日 2011/01/18
图像 13
性别 女性
年龄 55-59

ID:11587
更改背景颜色
[ Image ID:11587 ]


有详细数据
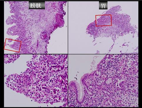
疾病(病理主体)的分类恶性上皮性肿瘤/印戒细胞癌
部位(按器官分)2个以上的内脏器官/
检查方法病理切片(微观)
肿瘤的肉眼分类4型(弥漫浸润型)/
肿瘤最大直径40以上
肿瘤的深度s(a)
多发性肿瘤(同一器官)
多重性肿瘤(多个器官)



TOP