Gastrointestinal medical image database select language
japaneseenglishchinesekoreaspanish

Contents

Posted by: Tokyo Pref., 国立癌中心中央病院和九州癌中心共同完成
登记日 2011/07/08
图像 23
性别 男性
年龄 65-69
Misc 1990-1994

ID:11767
更改背景颜色
[ Image ID:11767 ]


有详细数据
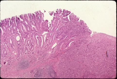
疾病(病理主体)的分类恶性上皮性肿瘤/腺癌
部位(按器官分)胃(部位)/前庭
检查方法病理切片(微观)
肿瘤的肉眼分类0型(表在型)/IIa型(IIa+IIc)
肿瘤最大直径30~34
肿瘤的深度sm
多发性肿瘤(同一器官)
多重性肿瘤(多个器官)



TOP