Gastrointestinal medical image database select language
japaneseenglishchinesekoreaspanish

Contents

Posted by: Tokyo Pref., 国立癌中心中央病院和九州癌中心共同完成
TIC病例(各地区消化管远程视像研讨会)
登记日 2000/05/26
图像 19
性别 女性
年龄 65-69

ID:1635
更改背景颜色
[ Image ID:1635 ]
Now translating.

有详细数据
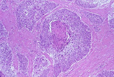
疾病(病理主体)的分类恶性上皮肿瘤/腺扁平上皮癌
部位(按器官分)大肠/直肠
检查方法病理切片(微观)
肿瘤最大直径40以上
肿瘤的深度ss(a1)
多发性肿瘤(同一器官)
多重性肿瘤(多个器官)有(异时性)



TOP