Gastrointestinal medical image database select language
japaneseenglishchinesekoreaspanish

Contents

Posted by: Tokyo Pref., 国立癌中心中央病院和九州癌中心共同完成
医疗方针联络网的病例.
登记日 2000/08/16
图像 13
性别 男性
年龄 40-44

ID:1911
更改背景颜色
[ Image ID:1911 ]
Now translating.

有详细数据
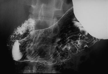
疾病(病理主体)的分类恶性上皮性肿瘤/印戒细胞癌
部位(按器官分)胃(部位)/胃角
检查方法X线
肿瘤的肉眼分类0型(表在型)/IIc型(IIc)
肿瘤最大直径30~34
肿瘤的深度m
多发性肿瘤(同一器官)
多重性肿瘤(多个器官)



TOP