Gastrointestinal medical image database select language
japaneseenglishchinesekoreaspanish

Contents

Posted by: Tokyo Pref., 国立癌中心中央病院和九州癌中心共同完成
登记日 2001/03/19
图像 32
性别 男性
年龄 -

ID:2335
更改背景颜色
[ Image ID:2335 ]
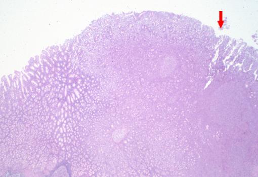
呈类似溃疡局限型胃癌形态的进行性胃恶性淋巴瘤的病理组织照片(微观)   这是一张低倍率的病理组织照片,表示与正常部分的界限。从箭头开始,左侧为正常粘膜,箭头起右侧,为病变部分。在病变部分可看到粘膜上有糜烂形成。

有详细数据
疾病(病理主体)的分类恶性淋巴系肿瘤/恶性淋巴瘤
部位(按器官分)胃(部位)/其他
检查方法病理切片(微观)
肿瘤的肉眼分类2型(溃疡局限型)/
肿瘤最大直径40以上
肿瘤的深度ss(a1)
多发性肿瘤(同一器官)
多重性肿瘤(多个器官)



TOP