Gastrointestinal medical image database select language
japaneseenglishchinesekoreaspanish

Contents

Posted by: Chiba Pref., 国立癌中心东病院
医疗方针联络网的病例.
TIC病例(各地区消化管远程视像研讨会)
登记日 2001/04/26
图像 34
性别 女性
年龄 60-64

ID:2406
更改背景颜色
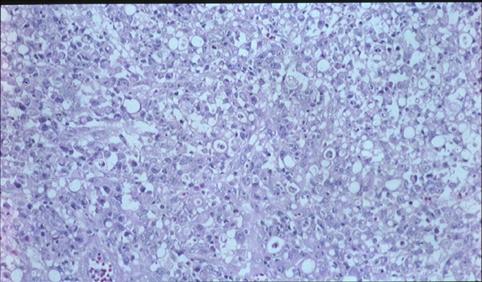
[ Image ID:2406 ]
以隆起为主体的5型胃印戒细胞癌的病理组织照片(微观)   切除胃的肿瘤部分的HE染色的增强扩大照片。在这个部分可见有缺乏胞体的低分化癌和印戒细胞癌(signet ring cell carcinoma)混合存在。

有详细数据
疾病(病理主体)的分类恶性上皮性肿瘤/印戒细胞癌
部位(按器官分)胃(部位)/体部
检查方法病理切片(微观)
肿瘤的肉眼分类5型(难以分类)/
肿瘤最大直径40以上
肿瘤的深度mp
多发性肿瘤(同一器官)
多重性肿瘤(多个器官)



TOP