关于本数据库
最新消息
疾病一览
TOP
>
从疾病清单中查看病例
>
非癌症的肿瘤(恶性、良性)
>
非癌症的大肠肿瘤
>
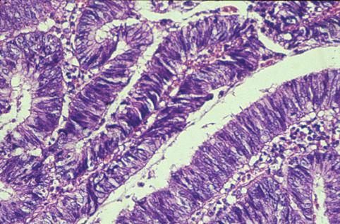
大肠"绒毛膜上皮" (villous t...
明显可见有粘液产生的直肠绒毛膜上皮肿瘤(腺瘤)
Posted by:
Tokyo Pref., 国立癌中心中央病院和九州癌中心共同完成
医疗方针联络网的病例.
登记日
2001/12/11
图像
15
性别
男性
年龄
50-54
更改背景颜色
[ Image ID:2675 ]
有详细数据
部位(按器官分)
大肠/直肠
检查方法
病理切片(微观)
肿瘤的肉眼分类
0型(表在型)/I型(Is)
肿瘤最大直径
40以上
肿瘤的深度
m
多发性肿瘤(同一器官)
无
多重性肿瘤(多个器官)
无
TOP