关于本数据库
最新消息
疾病一览
TOP
>
从疾病清单中查看病例
>
易与肿瘤混淆的炎症性及非肿瘤性疾患、病变
>
肠(大肠、小肠)的炎症性疾患、病变
>
病原性大肠炎
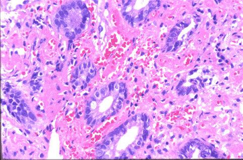
图像上需要与恶性淋巴瘤进行鉴别的一例O157大肠疾患 (福冈市南区 高宫外科)
Posted by:
Fukuoka Pref., - (福岡市南区, 高宮外科)
登记日
1999/01/01
图像
28
性别
女性
年龄
55-59
更改背景颜色
[ Image ID:279 ]
有详细数据
检查方法
病理切片(微观)
TOP