Gastrointestinal medical image database select language
japaneseenglishchinesekoreaspanish

Contents

Posted by: Tokyo Pref., 国立癌中心中央病院和九州癌中心共同完成
登记日 2001/12/27
图像 34
性别 男性
年龄 75-79

ID:2858
更改背景颜色
[ Image ID:2858 ]


有详细数据
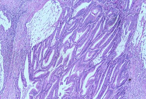
疾病(病理主体)的分类恶性上皮性肿瘤/腺癌
部位(按器官分)大肠/阑尾
检查方法病理切片(微观)
肿瘤的肉眼分类2型(溃疡局限型)/
肿瘤最大直径25~29
肿瘤的深度s(a)
多发性肿瘤(同一器官)
多重性肿瘤(多个器官)



TOP