关于本数据库
最新消息
疾病一览
TOP
>
从疾病清单中查看病例
>
易与肿瘤混淆的炎症性及非肿瘤性疾患、病变
>
肠(大肠、小肠)的炎症性疾患、病变
>
缺血性肠炎(含血栓病)
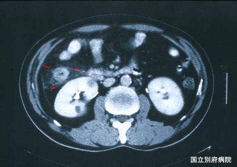
难以鉴别于大肠癌的伴有嗜酸细胞增多症的缺血性大肠炎(病例提供: 国立别府病院)
Posted by:
Oita Pref., 长崎医疗中心
医疗方针联络网的病例.
登记日
2002/03/04
图像
16
性别
男性
年龄
55-59
更改背景颜色
[ Image ID:3171 ]
有详细数据
疾病(病理主体)的分类
炎症性・溃疡性疾患/缺血性大肠炎
部位(按器官分)
大肠/升结肠
检查方法
CT
肿瘤最大直径
40以上
TOP