关于本数据库
最新消息
疾病一览
TOP
>
从疾病清单中查看病例
>
消化道的进行性癌
>
进行性胃癌
>
进行性胃癌2型(溃疡局限型)
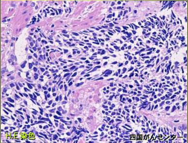
化学疗法奏效的胃小细胞癌(神经内分泌癌)(病例提供:国立病院四国癌中心)
Posted by:
Ehime Pref., 四国癌中心
医疗方针联络网的病例.
登记日
2002/04/09
图像
20
性别
男性
年龄
60-64
更改背景颜色
[ Image ID:3306 ]
有详细数据
疾病(病理主体)的分类
恶性上皮肿瘤/其他
部位(按器官分)
胃(部位)/前庭
检查方法
病理切片(微观)
肿瘤的肉眼分类
2型(溃疡局限型)/
肿瘤最大直径
40以上
多发性肿瘤(同一器官)
无
多重性肿瘤(多个器官)
无
TOP