Gastrointestinal medical image database select language
japaneseenglishchinesekoreaspanish

Contents

Posted by: Fukuoka Pref., 九州癌中心
医疗方针联络网的病例.
登记日 2002/05/07
图像 24
性别 男性
年龄 70-74

ID:3385
更改背景颜色
[ Image ID:3385 ]


有详细数据
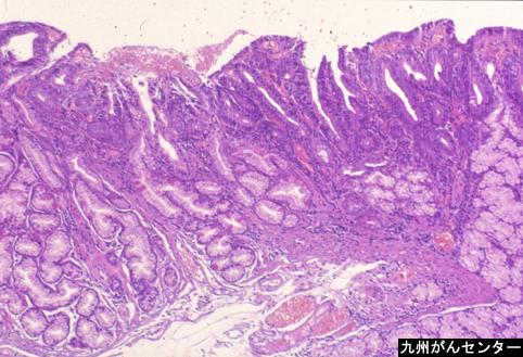
疾病(病理主体)的分类良性上皮性肿瘤/腺瘤
部位(按器官分)十二指肠/水平脚
检查方法病理切片(微观)
肿瘤的肉眼分类0型(表在型)/IIa型(IIa+IIc)
肿瘤最大直径10~14
多发性肿瘤(同一器官)
多重性肿瘤(多个器官)



TOP