关于本数据库
最新消息
疾病一览
TOP
>
从疾病清单中查看病例
>
易与肿瘤混淆的炎症性及非肿瘤性疾患、病变
>
胃的炎症性疾患、病变
>
胃的炎症性疾患、病变 其他
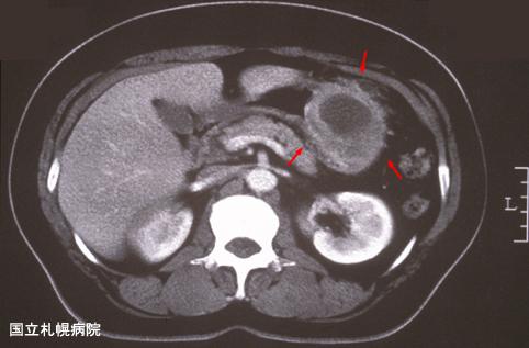
形态上表现为胃粘膜下肿瘤,术前诊断比较困难的一例炎性肿瘤
Posted by:
Hokkaido Pref., 北海道癌中心
医疗方针联络网的病例.
登记日
2002/04/22
图像
18
性别
女性
年龄
45-49
更改背景颜色
[ Image ID:3743 ]
有详细数据
疾病(病理主体)的分类
炎症性・溃疡性疾患/其他
部位(按器官分)
胃(部位)/体部
检查方法
CT
肿瘤最大直径
40以上
多发性肿瘤(同一器官)
无
多重性肿瘤(多个器官)
无
TOP