Gastrointestinal medical image database select language
japaneseenglishchinesekoreaspanish

Contents

Posted by: Kumamoto Pref., 济生会熊本病院 (Dr. 吉田)
登记日 2002/11/05
图像 13
性别 男性
年龄 45-49

ID:4069
更改背景颜色
[ Image ID:4069 ]
Now translating.

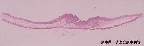
有详细数据
疾病(病理主体)的分类恶性上皮性肿瘤/腺癌
部位(按器官分)大肠/横结肠
检查方法病理切片(微观)
肿瘤的肉眼分类0型(表在型)/IIa型(IIa+IIc)
肿瘤最大直径20~24
肿瘤的深度sm
多发性肿瘤(同一器官)
多重性肿瘤(多个器官)



TOP