Gastrointestinal medical image database select language
japaneseenglishchinesekoreaspanish

Contents

Posted by: Fukuoka Pref., 九州癌中心
CPC病例(九州癌症中心临床病理研讨会)
登记日 2003/03/27
图像 31
性别 男性
年龄 55-59

ID:4853
更改背景颜色
[ Image ID:4853 ]


有详细数据
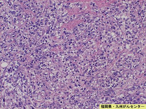
疾病(病理主体)的分类恶性上皮性肿瘤/腺癌
部位(按器官分)胃(部位)/体部
检查方法病理切片(微观)
肿瘤的肉眼分类5型(难以分类)/
肿瘤最大直径40以上
肿瘤的深度ss(a1)
多发性肿瘤(同一器官)
多重性肿瘤(多个器官)



TOP