Gastrointestinal medical image database select language
japaneseenglishchinesekoreaspanish

Contents

Posted by: Shizuoka Pref., 静冈医疗中心 (Dr. 尾关等)
医疗方针联络网的病例.
登记日 2003/04/07
图像 19
性别 女性
年龄 70-74
Misc 1980-1984

ID:4924
更改背景颜色
[ Image ID:4924 ]


有详细数据
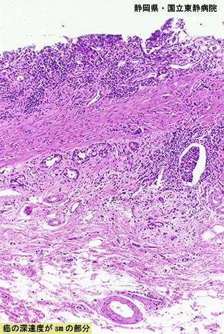
疾病(病理主体)的分类恶性上皮性肿瘤/印戒细胞癌
部位(按器官分)胃(部位)/2个以上
检查方法病理切片(微观)
多发性肿瘤(同一器官)有(同时性)
多重性肿瘤(多个器官)



TOP