Gastrointestinal medical image database select language
japaneseenglishchinesekoreaspanish

Contents

Posted by: Tokyo Pref., 国立癌中心中央病院和九州癌中心共同完成
TIC病例(各地区消化管远程视像研讨会)
登记日 1999/01/01
图像 19
性别 男性
年龄 -

ID:5404
更改背景颜色
[ Image ID:5404 ]


有详细数据
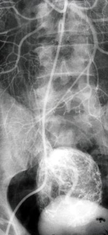
疾病(病理主体)的分类恶性非上皮性肿瘤/平滑肌肉瘤
部位(按器官分)小肠/空肠
检查方法X线
肿瘤最大直径40以上
多发性肿瘤(同一器官)
多重性肿瘤(多个器官)



TOP