关于本数据库
最新消息
疾病一览
TOP
>
从疾病清单中查看病例
>
非癌症的肿瘤(恶性、良性)
>
非癌症的小肠肿瘤
>
淋巴系肿瘤 恶性淋巴瘤(小肠)
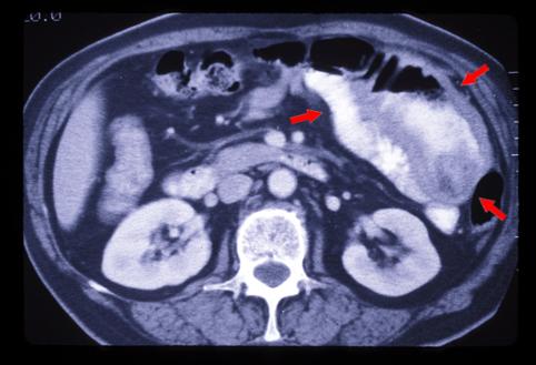
伴有明显肠壁肥厚的原发性B型小肠恶性淋巴瘤(国立癌中心东医院<关口隆三&lgt;和九州癌中心共同做成)
Posted by:
Tokyo Pref., 国立癌中心中央病院和九州癌中心共同完成
TIC病例(各地区消化管远程视像研讨会)
登记日
1999/01/01
图像
39
性别
女性
年龄
55-59
更改背景颜色
[ Image ID:5431 ]
有详细数据
疾病(病理主体)的分类
恶性淋巴系肿瘤/恶性淋巴瘤
部位(按器官分)
小肠/空肠
检查方法
CT
肿瘤最大直径
40以上
肿瘤的深度
s(a)
TOP