Gastrointestinal medical image database select language
japaneseenglishchinesekoreaspanish

Contents

Posted by: Tokyo Pref., 国立癌中心中央病院和九州癌中心共同完成
登记日 2003/09/22
图像 14
性别 男性
年龄 55-59
Misc 1980-1984

ID:5837
更改背景颜色
[ Image ID:5837 ]


有详细数据
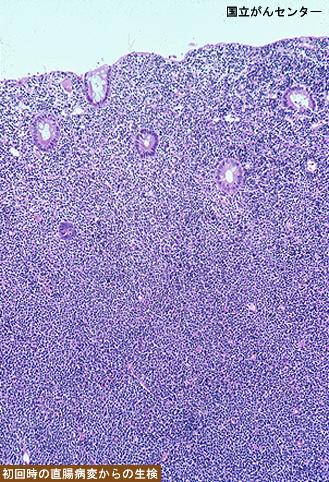
疾病(病理主体)的分类恶性淋巴系肿瘤/恶性淋巴瘤
部位(按器官分)大肠/直肠
检查方法病理切片(微观)
肿瘤的肉眼分类1型(肿瘤型)/
肿瘤最大直径35~40
多发性肿瘤(同一器官)有(同・异时性)
多重性肿瘤(多个器官)有(同・异时性)



TOP