Gastrointestinal medical image database select language
japaneseenglishchinesekoreaspanish

Contents

Posted by: Tokyo Pref., 国立癌中心中央病院和九州癌中心共同完成
登记日 2004/01/05
图像 29
性别 男性
年龄 40-44
Misc 1980-1984

ID:6503
更改背景颜色
[ Image ID:6503 ]


有详细数据
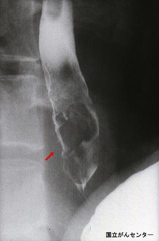
部位(按器官分)食道/下
检查方法X线
肿瘤的肉眼分类0型(表在型)/I型(Ipl)
肿瘤最大直径30~34
肿瘤的深度sm
多发性肿瘤(同一器官)有(同时性)
多重性肿瘤(多个器官)



TOP