Gastrointestinal medical image database select language
japaneseenglishchinesekoreaspanish

Contents

Posted by: Fukuoka Pref., 九州癌中心
登记日 2004/09/08
图像 19
性别 男性
年龄 55-59
Misc 1990-1994

ID:7535
更改背景颜色
[ Image ID:7535 ]


有详细数据
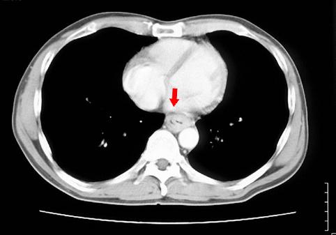
疾病(病理主体)的分类恶性上皮肿瘤/扁平上皮癌
部位(按器官分)食道/下
检查方法CT
肿瘤的肉眼分类3型(溃疡浸润型)/
肿瘤最大直径40以上
肿瘤的深度s(a)
多发性肿瘤(同一器官)
多重性肿瘤(多个器官)



TOP