Gastrointestinal medical image database select language
japaneseenglishchinesekoreaspanish

Contents

Posted by: Tokyo Pref., 国立癌中心中央病院
医疗方针联络网的病例.
登记日 2004/10/25
图像 17
性别 女性
年龄 55-59

ID:7669
更改背景颜色
[ Image ID:7669 ]


有详细数据
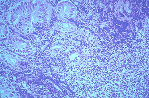
疾病(病理主体)的分类恶性淋巴系肿瘤/恶性淋巴瘤
部位(按器官分)十二指肠/球部
检查方法病理切片(微观)
肿瘤的肉眼分类0型(表在型)/IIc型(IIc)
肿瘤最大直径15~19
多发性肿瘤(同一器官)
多重性肿瘤(多个器官)



TOP