关于本数据库
最新消息
疾病一览
TOP
>
从疾病清单中查看病例
>
消化道息肉病以及相关疾患、病变
>
作为疾病名的消化道息肉病
>
幼年性息肉病
A case of juvnile polyposis of the large intestine with advanced rectal cancer.
Posted by:
Tokyo Pref., 国立癌中心中央病院和九州癌中心共同完成
登记日
2004/10/28
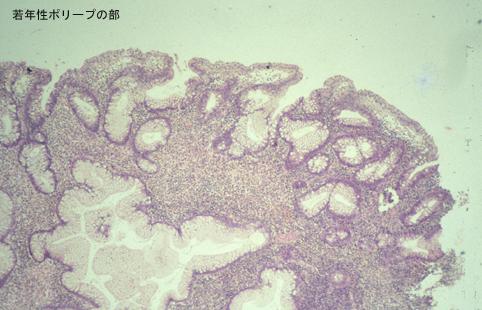
图像
18
性别
女性
年龄
-
更改背景颜色
[ Image ID:7701 ]
有详细数据
疾病(病理主体)的分类
肿瘤样病变/幼年性息肉病
部位(按器官分)
大肠/乙状结肠
检查方法
病理切片(微观)
肿瘤最大直径
15~19
多发性肿瘤(同一器官)
有(同时性)
多重性肿瘤(多个器官)
无
TOP