Gastrointestinal medical image database select language
japaneseenglishchinesekoreaspanish

Contents

Posted by: Fukuoka Pref., 九州癌中心
医疗方针联络网的病例.
登记日 2004/12/28
图像 18
性别 男性
年龄 60-64

ID:7838
更改背景颜色
[ Image ID:7838 ]


有详细数据
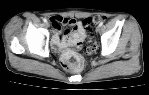
疾病(病理主体)的分类恶性上皮性肿瘤/粘液癌
部位(按器官分)大肠/直肠
检查方法CT
肿瘤的肉眼分类1型(肿瘤型)/
肿瘤最大直径40以上
肿瘤的深度mp
多发性肿瘤(同一器官)
多重性肿瘤(多个器官)



TOP