Gastrointestinal medical image database select language
japaneseenglishchinesekoreaspanish

Contents

Posted by: Fukuoka Pref., 九州癌中心
医疗方针联络网的病例.
登记日 2005/01/04
图像 14
性别 女性
年龄 45-49

ID:7860
更改背景颜色
[ Image ID:7860 ]


有详细数据
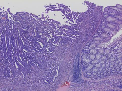
疾病(病理主体)的分类恶性上皮性肿瘤/腺癌
部位(按器官分)大肠/横结肠
检查方法病理切片(微观)
肿瘤的肉眼分类3型(溃疡浸润型)/
肿瘤最大直径40以上
肿瘤的深度ss(a1)
多发性肿瘤(同一器官)
多重性肿瘤(多个器官)



TOP