Gastrointestinal medical image database select language
japaneseenglishchinesekoreaspanish

Contents

Posted by: Oita Pref., Nakatsu Municipal Hospital (Nakatsu Municipal Hospital)
登记日 2005/01/11
图像 18
性别 男性
年龄 70-74

ID:7879
更改背景颜色
[ Image ID:7879 ]


有详细数据
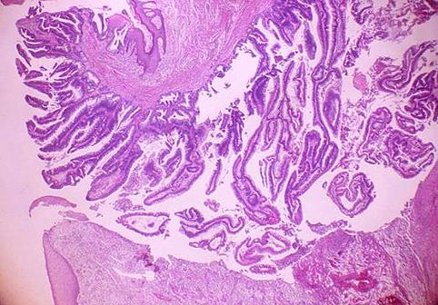
疾病(病理主体)的分类恶性上皮性肿瘤/腺癌
部位(按器官分)大肠/盲肠
检查方法病理切片(微观)
肿瘤的肉眼分类1型(肿瘤型)/
肿瘤最大直径40以上
肿瘤的深度s(a)
多发性肿瘤(同一器官)
多重性肿瘤(多个器官)



TOP