Gastrointestinal medical image database select language
japaneseenglishchinesekoreaspanish

Contents

Posted by: Tokyo Pref., 国立癌中心中央病院和九州癌中心共同完成
医疗方针联络网的病例.
TIC病例(各地区消化管远程视像研讨会)
登记日 2005/04/04
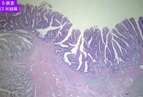
图像 31
性别 男性
年龄 -
Misc 1995-1999

ID:8214
更改背景颜色
[ Image ID:8214 ]


有详细数据
疾病(病理主体)的分类恶性上皮性肿瘤/腺癌
部位(按器官分)大肠/乙状结肠
检查方法病理切片(微观)
肿瘤的肉眼分类0型(表在型)/IIa型(IIa+IIc)
肿瘤最大直径15~19
肿瘤的深度sm
多发性肿瘤(同一器官)有(同时性)
多重性肿瘤(多个器官)



TOP