Gastrointestinal medical image database select language
japaneseenglishchinesekoreaspanish

Contents

Posted by: Fukuoka Pref., 九州癌中心
医疗方针联络网的病例.
登记日 2005/04/12
图像 16
性别 女性
年龄 45-49
Misc 2000-2004

ID:8220
更改背景颜色
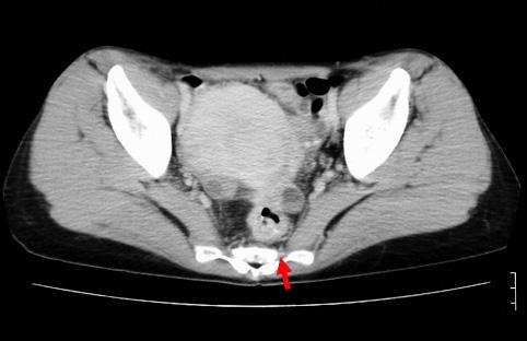
[ Image ID:8220 ]


有详细数据
疾病(病理主体)的分类恶性上皮性肿瘤/腺癌
部位(按器官分)大肠/直肠
检查方法CT
肿瘤的肉眼分类2型(溃疡局限型)/
肿瘤最大直径40以上
肿瘤的深度s(a)
多发性肿瘤(同一器官)
多重性肿瘤(多个器官)



TOP