Gastrointestinal medical image database select language
japaneseenglishchinesekoreaspanish

Contents

Posted by: Fukuoka Pref., 九州癌中心
医疗方针联络网的病例.
登记日 2005/05/23
图像 27
性别 男性
年龄 65-69
Misc 2000-2004

ID:8332
更改背景颜色
[ Image ID:8332 ]


有详细数据
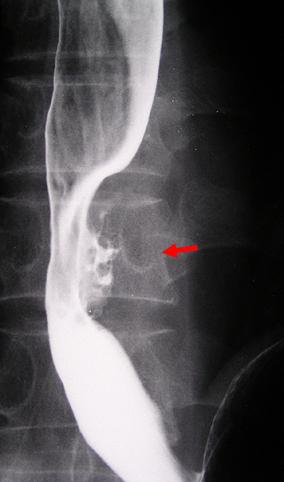
疾病(病理主体)的分类恶性上皮肿瘤/扁平上皮癌
部位(按器官分)食道/下
检查方法X线
肿瘤的肉眼分类3型(溃疡浸润型)/
肿瘤最大直径35~40
肿瘤的深度s(a)



TOP