Gastrointestinal medical image database select language
japaneseenglishchinesekoreaspanish

Contents

Posted by: Tokyo Pref., 国立癌中心中央病院和九州癌中心共同完成
登记日 2005/07/13
图像 28
性别 男性
年龄 45-49
Misc 1985-1989

ID:8550
更改背景颜色
[ Image ID:8550 ]


有详细数据
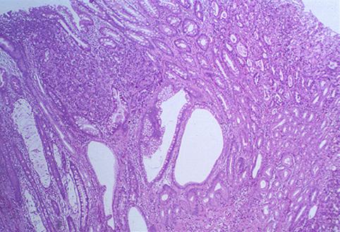
疾病(病理主体)的分类恶性上皮性肿瘤/腺癌
部位(按器官分)胃(部位)/前庭
检查方法病理切片(微观)
肿瘤的肉眼分类0型(表在型)/IIa型(IIa+IIc)
肿瘤最大直径25~29
肿瘤的深度m
多发性肿瘤(同一器官)
多重性肿瘤(多个器官)



TOP