关于本数据库
最新消息
疾病一览
TOP
>
从疾病清单中查看病例
>
消化道的早期癌
>
早期胃癌
>
早期胃癌IIc型(IIc+III)
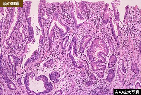
伴有明显纤维化,呈进展期癌样表现的IIc+III型早期胃癌
Posted by:
Fukuoka Pref., 九州癌中心
登记日
2006/01/04
图像
28
性别
男性
年龄
60-64
Misc
2000-2004
更改背景颜色
[ Image ID:8945 ]
有详细数据
疾病(病理主体)的分类
恶性上皮性肿瘤/腺癌
部位(按器官分)
胃(部位)/胃角
检查方法
病理切片(微观)
肿瘤的肉眼分类
0型(表在型)/IIc型(IIc+III)
肿瘤最大直径
35~40
肿瘤的深度
m
多发性肿瘤(同一器官)
无
多重性肿瘤(多个器官)
无
TOP