Gastrointestinal medical image database select language
japaneseenglishchinesekoreaspanish

Contents

Posted by: Fukuoka Pref., 九州癌中心
医疗方针联络网的病例.
登记日 2006/06/06
图像 35
性别 男性
年龄 70-74
Misc 2000-2004

ID:9232
更改背景颜色
[ Image ID:9232 ]


有详细数据
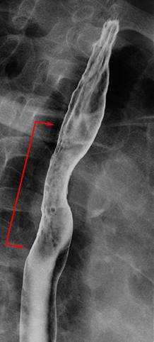
疾病(病理主体)的分类恶性上皮肿瘤/扁平上皮癌
部位(按器官分)食道/中
检查方法X线
肿瘤的肉眼分类0型(表在型)/IIc型(IIc)
肿瘤最大直径40以上
肿瘤的深度m
多发性肿瘤(同一器官)
多重性肿瘤(多个器官)



TOP