Gastrointestinal medical image database select language
japaneseenglishchinesekoreaspanish

Contents

Posted by: Fukuoka Pref., MUNAKATA MEDICAL ASSOCIATION (MUNAKATA MEDICAL ASSOCIATION)
Gastrointestinal case conference
登记日 2006/09/25
图像 28
性别 女性
年龄 50-54
Misc 2000-2004

ID:9367
更改背景颜色
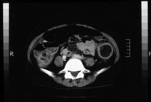
[ Image ID:9367 ]


有详细数据
疾病(病理主体)的分类良性非上皮性肿瘤/脂肪瘤
部位(按器官分)大肠/降结肠
检查方法CT
肿瘤最大直径35~40
多发性肿瘤(同一器官)
多重性肿瘤(多个器官)



TOP