Gastrointestinal medical image database select language
japaneseenglishchinesekoreaspanish

Contents

Posted by: Tokyo Pref., 国立癌中心中央病院和九州癌中心共同完成
登记日 1999/01/01
图像 4
性别 女性
年龄 -

ID:9591
更改背景颜色
[ Image ID:9591 ]


有详细数据
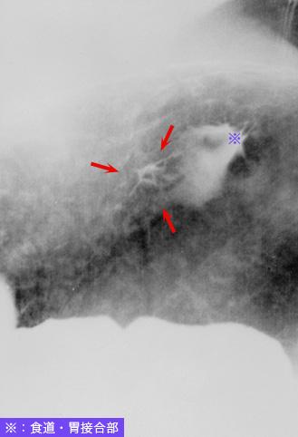
疾病(病理主体)的分类恶性上皮性肿瘤/腺癌
部位(按器官分)胃(部位)/喷门
检查方法X线
肿瘤的肉眼分类0型(表在型)/IIc型(IIc)
肿瘤最大直径1~9
肿瘤的深度m



TOP