Gastrointestinal medical image database select language
japaneseenglishchinesekoreaspanish

Contents

Posted by: Tokyo Pref., 国立癌中心中央病院和九州癌中心共同完成
登记日 2006/12/26
图像 9
性别 男性
年龄 -
Misc 1995-1999

ID:9688
更改背景颜色
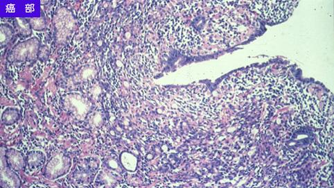
[ Image ID:9688 ]


有详细数据
疾病(病理主体)的分类恶性上皮性肿瘤/印戒细胞癌
部位(按器官分)胃(部位)/胃角
检查方法病理切片(微观)
肿瘤的肉眼分类0型(表在型)/IIc型(IIc+III)
肿瘤最大直径30~34
肿瘤的深度m
多发性肿瘤(同一器官)
多重性肿瘤(多个器官)



TOP