Gastrointestinal medical image database select language
japaneseenglishchinesekoreaspanish

Contents

Posted by: Fukuoka Pref., National Hospital Organization Kyushu Cancer Center
Date of entry 2008/04/14
Number of image 24
Sex male
Age 70-74
Misc 1995-1999's case

ID:10447
Change background color
[ Image ID:10447 ]


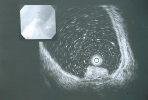
Detailed data.
Criteria of Hist.ClassificationMalignant epithelial tumor/Adenocarcinoma
LocationStomach/Antrum
Technique, MethodUltrasonography
Macroscopic TypesType 0/I (I) Protruded type
Size15 - 19
Depth of Tumor Invasionmucosa
Multiple neoplasm in same organNon
Multiple neoplasm in anotherNon



TOP