Gastrointestinal medical image database select language
japaneseenglishchinesekoreaspanish

Contents

Posted by: Fukuoka Pref., National Hospital Organization Kyushu Cancer Center
Date of entry 2009/10/29
Number of image 27
Sex male
Age 65-69
Misc 2000-2004's case

ID:11193
Change background color
[ Image ID:11193 ]


Detailed data.
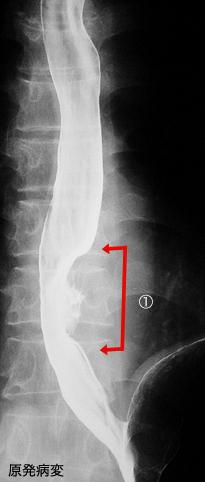
Criteria of Hist.ClassificationMalignant epithelial tumor/Squamous cell carcinoma
LocationEsophagus/Lower third
Technique, MethodX-ray
Macroscopic TypesType 3 Ulcerated type with infiltration/
Size35 - 40
Depth of Tumor Invasionserosa (adventitia)
Multiple neoplasm in same organNon
Multiple neoplasm in anotherNon



TOP