about this MIDB
NEWS
List of discase
TOP
>
List of disease
>
Neoplasm (Malignant,...
>
Gastric Neoplasms ex...
>
Lymphoma / Malignant...
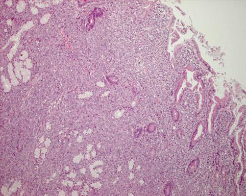
A case of gastric malignant lymphoma resembling type 3 advanced gastric cancer.
Posted by:
Fukuoka Pref., National Hospital Organization Kyushu Medical Center (Dr.Hiraga)
Gastrointestinal case conference
Date of entry
2010/05/17
Number of image
14
Sex
male
Age
50-54
Change background color
[ Image ID:11460 ]
Detailed data.
Criteria of Hist.Classification
Malignant Lymphoma/Malignant lymphoma
Location
Stomach/More than one of above
Technique, Method
Histology
Macroscopic Types
Type 3 Ulcerated type with infiltration/
Size
40 -
TOP