about this MIDB
NEWS
List of discase
TOP
>
List of disease
>
Inflammatory or Non-...
>
Intestinal Inflammat...
>
phlebosclerotic coli...
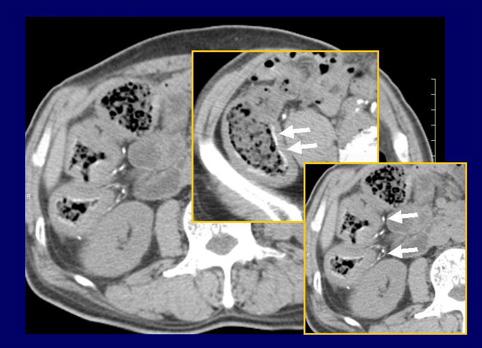
A case of idiopathic mesenteric phlebosclerosis (phlebosclerotic colitis).
Posted by:
Fukuoka Pref., National Hospital Organization Kyushu Medical Center (Department of radiology(Dr.Miyata,Dr.Hiraga,Dr.Muranaka))
Date of entry
2010/12/25
Number of image
22
Sex
male
Age
60-64
Change background color
[ Image ID:11554 ]
Detailed data.
Criteria of Hist.Classification
Inflammatory or ulcerative disease / lesions/phlebosclerotic colitis
Location
Large intestine(Colon)/More than one of the above
Technique, Method
CT
TOP