Gastrointestinal medical image database select language
japaneseenglishchinesekoreaspanish

Contents

Posted by: Fukuoka Pref., National Hospital Organization Kyushu Medical Center (Dr.Hiraga)
Case of medical policy network.
Date of entry 2011/01/28
Number of image 23
Sex female
Age 55-59

ID:11598
Change background color
[ Image ID:11598 ]


Detailed data.
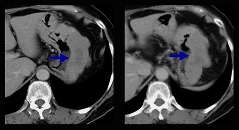
Criteria of Hist.ClassificationMalignant Lymphoma/Malignant lymphoma
LocationStomach/More than one of above
Technique, MethodCT
Size40 -
Depth of Tumor Invasionserosa (adventitia)
Multiple neoplasm in same organSynchronous
Multiple neoplasm in anotherNon



TOP