about this MIDB
NEWS
List of discase
TOP
>
List of disease
>
Neoplasm (Malignant,...
>
Colorectal Neoplasms...
>
Non-epithelial tumor...
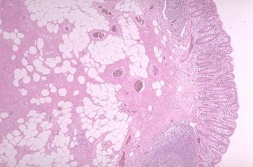
Lipoangioma in the ascending colon removed by an endoscopical polypectomy.
Posted by:
Tokyo Pref., Cooperative study between National Cancer Center and Kyushu Cancer Center
Date of entry
1999/01/01
Number of image
4
Sex
-
Age
-
Change background color
[ Image ID:1229 ]
Detailed data.
Criteria of Hist.Classification
Non-epithelial tumors/Angiolipoma
Location
Large intestine(Colon)/Ascending colon
Technique, Method
Histology
Size
10 - 14
Multiple neoplasm in same organ
Non
Multiple neoplasm in another
Non
TOP