Gastrointestinal medical image database select language
japaneseenglishchinesekoreaspanish

Contents

Posted by: Tokyo Pref., Cooperative study between National Cancer Center and Kyushu Cancer Center
Case of TIC(Tele Image Conference)
Date of entry 2000/03/03
Number of image 19
Sex female
Age 50-54

ID:1435
Change background color
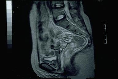
[ Image ID:1435 ]


Detailed data.
Criteria of Hist.ClassificationMalignant epithelial tumor/Signet-ring cellcarcinoma
LocationLarge intestine(Colon)/Rectum
Technique, MethodMRI
Macroscopic TypesType 3 Ulcerated type with infiltration/
Size35 - 40
Depth of Tumor Invasionserosa (adventitia)
Multiple neoplasm in same organNon
Multiple neoplasm in anotherNon



TOP