Gastrointestinal medical image database select language
japaneseenglishchinesekoreaspanish

Contents

Posted by: Tokyo Pref., Cooperative study between National Cancer Center and Kyushu Cancer Center
Case of TIC(Tele Image Conference)
Date of entry 2000/07/03
Number of image 12
Sex female
Age 55-59

ID:1783
Change background color
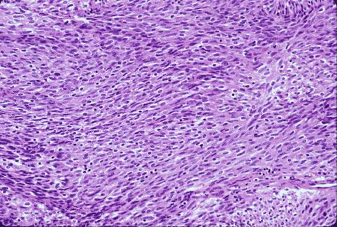
[ Image ID:1783 ]


Detailed data.
Criteria of Hist.ClassificationMalignant non-epithelilal tumors/Leiomyosarcoma (including GIST)
LocationLarge intestine(Colon)/Rectum
Technique, MethodHistology
Size40 -
Depth of Tumor Invasionsubserosa (subadventitia)
Multiple neoplasm in same organNon
Multiple neoplasm in anotherNon



TOP